Chirurgia stomatologiczna Opoczno
Chirurgia stomatologiczna to dziedzina, która rozwiązuje problemy zdrowotne wymagające interwencji zabiegowej. W naszym gabinecie w Opocznie łączymy doświadczenie specjalistów z nowoczesnym sprzętem, zapewniając pacjentom kompleksową opiekę w przyjaznej atmosferze.

Spis treści
- Czym jest chirurgia stomatologiczna?
- Zabiegi chirurgii stomatologicznej w naszym gabinecie
- Usuwanie zębów mądrości (ósemek)
- Resekcja wierzchołka korzenia
- Hemisekcja
- Kiedy warto udać się do chirurga stomatologa w Opocznie?
- Czy zabiegi chirurgii stomatologicznej są bolesne?
- Zalecenia po zabiegach chirurgii stomatologicznej
- Cena zabiegów chirurgii stomatologicznej w Opocznie
- Chirurg stomatologiczny Opoczno – umów się na wizytę!
- Cennik
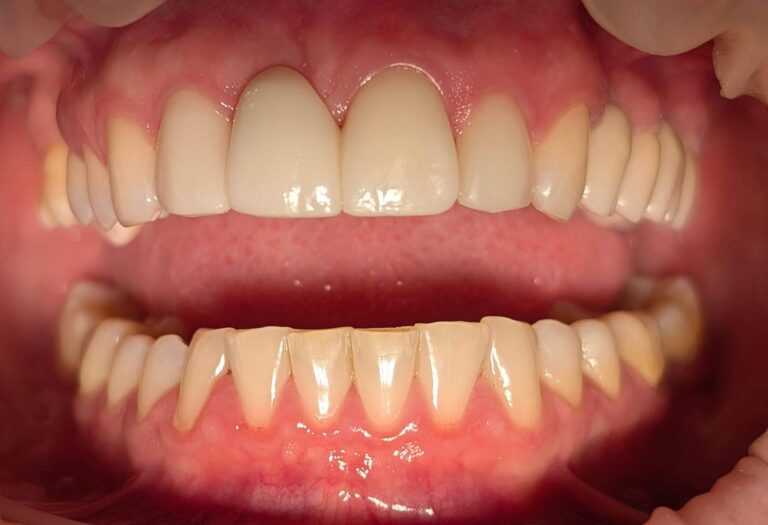
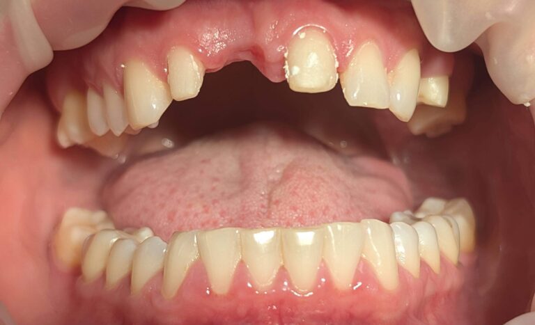
- Metamorfozy
Czym jest chirurgia stomatologiczna?
Chirurgia stomatologiczna stanowi specjalizację stomatologii zajmującą się zabiegowymi metodami leczenia chorób jamy ustnej. Obejmuje procedury wykonywane na zębach, tkankach miękkich oraz kościach szczękowych, wykorzystując zaawansowane techniki operacyjne.
Chirurg stomatolog eliminuje problemy niemożliwe do rozwiązania metodami zachowawczymi – od zmian patologicznych po zaburzenia anatomiczne uniemożliwiające prawidłową funkcję zgryzową. Procedury chirurgiczne stanowią fundament kompleksowego leczenia, przygotowując pole zabiegowe do implantacji, protetyki czy ortodoncji, co czyni tę specjalizację kluczową dla zachowania zdrowia jamy ustnej pacjentów w każdym wieku.
Zabiegi chirurgii stomatologicznej w naszym gabinecie
W naszym gabinecie w Opocznie wykonujemy pełen zakres zabiegów chirurgicznych. Realizujemy zarówno leczenie planowane, jak i interwencyjne w nagłych przypadkach. Nasz zespół specjalistów dysponuje wieloletnim doświadczeniem, co przekłada się na precyzję wykonywanych procedur i komfort pacjentów w każdym wieku.
Usuwanie zębów mądrości (ósemek)
Usunięcie ósemek staje się konieczne, gdy ich nieprawidłowe wyrzynanie powoduje problemy zdrowotne lub zagraża sąsiednim zębom. Najczęstsze wskazania do zabiegu obejmują nawracające stany zapalne, uporczywy ból oraz brak miejsca w łuku zębowym, który może prowadzić do przesunięć zgryzowych. Rekonwalescencja po zabiegu trwa zazwyczaj kilka dni, a zastosowanie się do zaleceń lekarza minimalizuje dyskomfort pooperacyjny.
Resekcja wierzchołka korzenia
Resekcja to zabieg polegający na usunięciu zakażonego wierzchołka korzenia zęba wraz z otaczającymi go zmianami patologicznymi. Procedura stanowi alternatywę dla ekstrakcji, gdy tradycyjne leczenie kanałowe nie przyniosło oczekiwanych rezultatów. Wskazania obejmują przewlekłe zmiany okołowierzchołkowe, torbiele oraz uporczywe stany zapalne, które mimo endodoncji nie ustępują.
Hemisekcja
Hemisekcja polega na usunięciu jednego korzenia zęba wielokorzeniowego wraz z odpowiadającą mu częścią korony. Zabieg wykonuje się w przypadkach, gdy tylko część zęba jest nieuleczalnie uszkodzona, a pozostałe korzenie pozostają zdrowe i funkcjonalne. Dzięki hemisekcji zachowujemy fragment zęba naturalnego, co w wielu sytuacjach klinicznych przewyższa korzyści płynące z całkowitej ekstrakcji.
Kiedy warto udać się do chirurga stomatologa w Opocznie?
Konsultacja chirurgiczna jest wskazana w następujących sytuacjach:
- Przewlekłe bóle zębów, obrzęki dziąseł lub obecność ropni w jamie ustnej.
- Problemy z wyrzynaniem zębów mądrości lub innych zębów stałych.
- Przygotowanie do leczenia implantologicznego wymagające augmentacji kości.
- Zmiany patologiczne w obrębie tkanek miękkich lub kości szczękowych.
- Urazy mechaniczne zębów i szczęk wymagające interwencji zabiegowej.
Czy zabiegi chirurgii stomatologicznej są bolesne?
Wszystkie zabiegi wykonujemy w znieczuleniu miejscowym, co eliminuje ból w trakcie procedury i zapewnia pełen komfort pacjentom. Po ustąpieniu działania anestetyku mogą pojawić się umiarkowane dolegliwości, które zazwyczaj ustępują w ciągu 2-3 dni. Dyskomfort pooperacyjny można skutecznie łagodzić za pomocą zaleconych przez lekarza preparatów przeciwbólowych i przeciwzapalnych.
Zalecenia po zabiegach chirurgii stomatologicznej
Bezpośrednio po zabiegu należy unikać gorących napojów i potraw przez pierwsze 24 godziny oraz nie płukać intensywnie jamy ustnej. Fizyczny wysiłek i nachylanie głowy mogą nasilać krwawienie, dlatego pierwszego dnia zalecamy odpoczynek.
Higienę jamy ustnej należy kontynuować, omijając delikatnie miejsce po zabiegu i stosując miękką szczoteczkę. Dieta powinna opierać się na pokarmach miękkich i letniej temperaturze, a przyjmowanie zaleconych leków – być zgodne z harmonogramem podanym przez stomatologa. W razie wątpliwości zachęcamy do kontaktu telefonicznego z gabinetem.
Cena zabiegów chirurgii stomatologicznej w Opocznie
Koszt procedur chirurgicznych zależy od złożoności zabiegu, czasu jego trwania oraz zakresu koniecznych badań diagnostycznych. Różnice cenowe wynikają również z rodzaju procedury – proste ekstrakcje są tańsze od zabiegów zachowawczych korzenia czy chirurgicznego usuwania zatrzymanych ósemek. Dokładna wycena możliwa jest po konsultacji i ocenie stanu klinicznego na podstawie badania oraz, w razie potrzeby, zdjęcia pantomograficznego.
Chirurg stomatologiczny Opoczno – umów się na wizytę!
Zapraszamy do kontaktu i umówienia wizyty w naszym gabinecie stomatologicznym w Opocznie. Rejestracja możliwa jest telefonicznie, przez formularz online na stronie internetowej oraz osobiście w recepcji. Oferujemy indywidualne podejście, doświadczenie specjalistów oraz pomoc w wyborze optymalnego planu leczenia – sprawdź naszą ofertę i przekonaj się, jak wygląda stomatologia w miłej atmosferze.
Cennik usług
Usunięcie zęba stałego
Implant - część chirurgiczna
Nacięcie ropnia